近期,一名11岁男孩在短短2个月里,2次因骨折来到株洲市中医伤科医院就诊,且是在同一位置骨折。
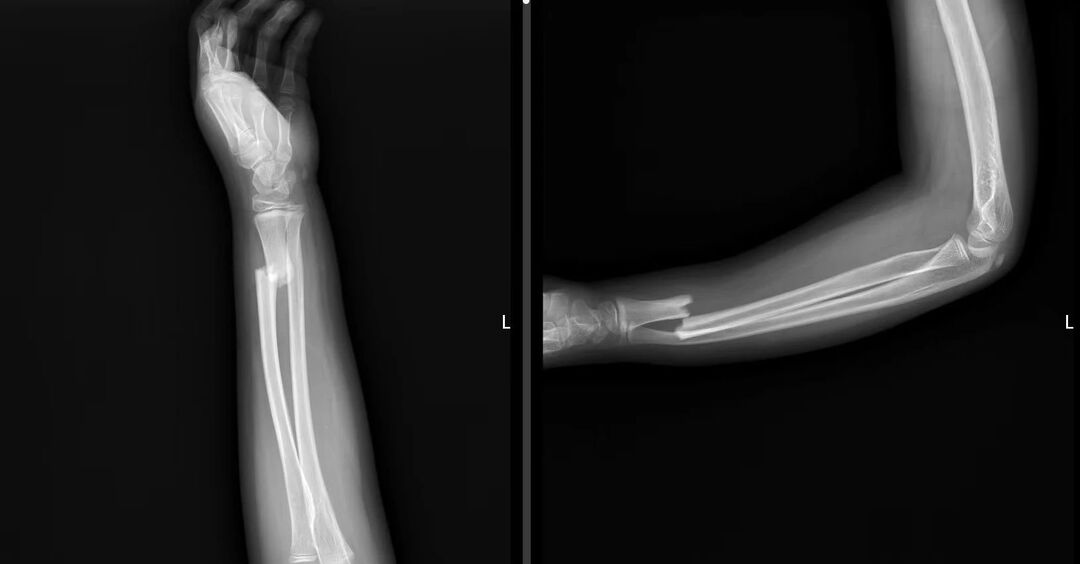
该名男孩,从小就酷爱运动,以足球为甚。尽管才11岁,在绿茵场上驰骋起来,颇有些球星的气度和风范。运动强健体魄的同时亦伴随风险。今年儿童节的第二天,男孩在踢球时跌倒致左桡尺骨下段青枝骨折,遂来到株洲市中医伤科医院小儿骨科门诊,接受中医正骨手法复位治疗。两个多月过去,孩子恢复得越来越好,对球场格外向往,早已蠢蠢欲动,于是在未完全恢复的状态下就上场踢球。结果,他再次跌倒,又是同一位置骨折,这次更严重,被诊断为左桡骨下段骨折全错位、左尺骨下段青枝骨折、下尺桡关节分离。眼看着骨折马上就好了,其父母懊悔不已,带着孩子住进伤科医院小儿骨科。

面对忧心忡忡的父母,该院小儿骨科主任彭真灵对男孩和家属一一安慰,待悬心落下,施以手法正骨复位,外敷中药,上小夹板外固定,外加中药活血化瘀、消肿止痛等对症处理。不过几日,肿痛消散明显,复查的X片显示,骨折的对位对线良好。
彭真灵介绍,近日小儿骨科门诊和住院部、手法正骨门诊诊治了不少上肢骨折的患儿,他们有的在奔跑途中受伤,有的在小区骑行中跌伤,有的在舞蹈训练中翻跟头导致骨折……彭真灵提醒,家长要树立安全防范意识,在孩子进行体育训练和运动时,要有专业人员陪同及看护,遵循循序渐进的科学训练方法。运动前让孩子做好充分的热身准备,户外运动,尤其是骑行运动时尽量让孩子戴上护具,如护腕、护肘、护膝等。使用学步车、刚走路不稳的小宝宝建议戴头部护具,防止跌倒时磕碰到头部;时刻关注孩子活动状况,对孩子进行安全教育,让他们不要做高风险的动作,避免导致摔伤和骨折,对大龄儿童有必要进行相关的交通安全知识教育,防止交通意外伤害发生;儿童在生长发育的高峰期,骨骼发育对钙、蛋白质等物质的需求较多,可以适当加强相关营养摄入,如进食鸡蛋、肉类、鱼类等,适当补充钙剂,多吃富含钙的食物,如牛奶、紫菜、海带、虾皮(过敏者慎用)等,每周应至少进行3次户外活动,多晒太阳(晒太阳可以激活维生素D,促进钙的吸收和利用)。
(袁伟)
责编:李爱华
来源:湖南日报·新湖南客户端
学习进行时|习近平总书记指引推动海南自贸港建设的故事
时政微观察丨为亚太和世界经济发展注入新动力
深刻揭示新时代发展规律——习近平经济思想引领新时代经济工作述评之二
全球妇女峰会主席声明(全文)
《求是》杂志发表习近平总书记重要文章《纵深推进全国统一大市场建设》
领航强军,从胜利走向胜利——习近平主席检阅抗战胜利纪念日阅兵受阅部队侧记
习近平主席在上海合作组织成员国元首理事会第二十五次会议上的重要讲话汇聚信心和力量
时政微视频丨习近平心中的“上合家园”